本ウェブサイト上の取扱説明書は、現時点で有効な最新版です。全ての取扱説明書は、予告なく変更される場合があります。常に最新版の取扱説明書を確保頂くため、定期的に本ウェブサイトをご確認頂きますようお願い致します。

NSK-Nakanishi Japan

当コンテンツは、歯科医療に従事されている皆さまへの情報提供を目的としています。
一般の方に対する情報提供を目的としたものではありませんのでご了承ください。

あなたは歯科医療従事者ですか?

Close

Powder Maintenance

歯を美しく健康な状態に保つために

大切な患者さまの歯を美しく健康な状態を保つためには、患者さま自身による日常のケアはもちろんですが、歯科医院での定期的なプロフェッショナルケアも欠かすことができません。
その方法として、歯肉縁上から歯肉縁下のステイン、バイオフィルムを除去することができる「パウダーメインテナンス」があります。
「パウダーメインテナンス」を安心して行うために、その効果や使い方、注意点をしっかりと理解して、あなたにとっても患者さまにとっても快適なプロフェッショナルケアをぜひ体験してください。
※ナカニシ製の歯面清掃用器具でパウダーを使用したメインテナンスを、ナカニシでは「パウダーメインテナンス」と位置付けています。

ご覧になりたい製品をお選びください。

FLASH pearl

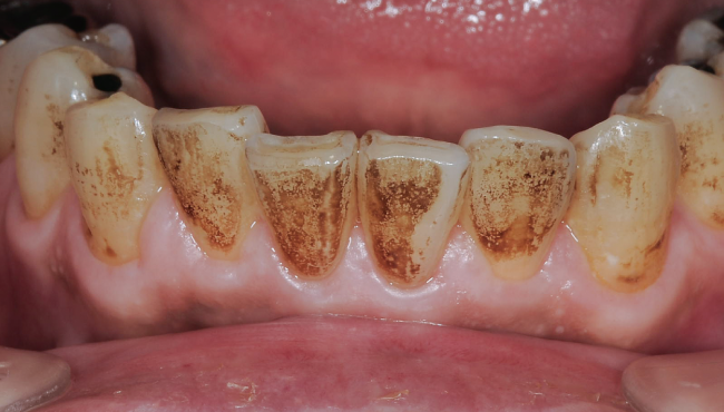
フラッシュパールは、炭酸カルシウムを主成分とした歯肉縁上用のパウダーです。球体状の細かい粒子で構成されており、粒子が歯面を転がるように接することで、天然歯に付着した強固なステインをスピーディーで効率的に除去が可能です。

特長

  • 主成分 : 炭酸カルシウム
  • 無味無臭(ノンフレーバー)
  • ステイン除去効果が高い
  • 塩分摂取制限を受けている患者など、 重炭酸ナトリウムでは禁忌であった患者への使用が可能

使用用途

  • 強固なステインの除去

パウダー粒子

  • 平均粒子径 54μm

使用ポイント・噴霧範囲

使用イメージ

  • 画像提供:貞光歯科医院(奈良県奈良市)

施術対象

  • 歯肉縁上の天然歯
  • 画像提供:貞光歯科医院(奈良県奈良市)

Option & Accessories

  • FLASH pearl
  • フラッシュパール

    • 製品名:フラッシュパール
    • 製品番号:Y900698

    仕様

    • 主成分
    • 炭酸カルシウム
    • パウダー平均粒子径
    • 約54μm
    • 使用用途
    • 強固なステインの除去
    • 使用範囲と対象
    • 歯肉縁上の天然歯

    ・300 g × 4 本
    ・塩分ゼロ

  • FLASH pearl
  • フラッシュパール

    • 製品名:フラッシュパール (100袋入)
    • 製品番号:Y900693

    仕様

    • 主成分
    • 炭酸カルシウム
    • パウダー平均粒子径
    • 約54μm
    • 使用用途
    • 強固なステインの除去
    • 使用範囲と対象
    • 歯肉縁上の天然歯

    ・15 g ×100 袋
    ・塩分ゼロ

臨床動画

SOFT pearl

ソフトパールは、グリシンを主成分とした歯肉縁上用のパウダーです。時間差での水溶性を実現する粉体粒子のコーティングを施しています。噴射時の水によって急激に溶解しないため、最適な状態のパウダーが歯面に届き、軽度から中程度のステインやバイオフィルムを効率的に除去します。

特長

  • 主成分 : グリシン
  • 甘みがある
  • 計算された水溶性のため、歯面への侵襲性が低く、一部の補綴装置にも使用可能
  • 仕上げ研磨不要

使用用途

  • 軽度から中等度のステインおよびバイオフィルムの除去

パウダー粒子

  • 平均粒子径 65μm

使用ポイント・噴霧範囲

使用イメージ

  • 画像提供:貞光歯科医院(奈良県奈良市)

施術対象

  • 歯肉縁上の天然歯、補綴装置※
    露出した象牙質、エナメル質のう蝕、コンポジットレジン及び金の詰め物には直接噴射しないこと。[それらの表面に傷をつける恐れ]
  • 画像提供:貞光歯科医院(奈良県奈良市)
  • 画像提供:貞光歯科医院(奈良県奈良市)
  • 画像提供:貞光歯科医院(奈良県奈良市)

Option & Accessories

  • SOFT pearl
  • ソフトパール

    • 製品名:ソフトパール
    • 製品番号:Y1500721

    仕様

    • 主成分
    • グリシン
    • パウダー平均粒子径
    • 約65μm
    • 使用用途
    • 軽度から中等度のステインおよびバイオフィルムの除去
    • 使用範囲と対象
    • 歯肉縁上の天然歯、補綴装置*

    ・250 g × 4 本
    ・主成分のグリシンはタンパク質の構成物質であるアミノ酸

    *露出した象牙質、エナメル質のう蝕、コンポジットレジン及び金の詰め物には直接噴射しないこと。[それらの表面に傷をつける恐れ]

Perio Mate Powder

ペリオメイトパウダーはグリシンを主成分とした、歯肉縁上・縁下用のパウダーです。高い水溶性の極小粒子(平均粒子径25μm)で歯肉縁下やインプラント周囲、補綴装置などのバイオフィルムの除去が可能です。

特長

  • 主成分 : グリシン
  • 甘みがある
  • 歯肉縁下に使用しても滞留しにくい高い水溶性
  • 象牙質より柔らかいモース硬度
  • 仕上げ研磨不要

使用用途

  • バイオフィルム・軽微なステインの除去

パウダー粒子

  • 平均粒子径 25μm

歯肉縁上

使用ポイント・噴霧範囲

使用イメージ

歯肉縁上

使用ポイント・噴霧範囲

使用イメージ

歯肉縁下

使用ポイント・噴霧範囲

使用イメージ

施術対象

  • 歯肉縁上、歯肉縁下、補綴装置
  • 画像提供:土屋和子

Option & Accessories

  • Perio Mate Powder
  • ペリオメイトパウダー

    • 製品名:ペリオメイトパウダー
    • 製品番号:Y900938

    仕様

    • 主成分
    • グリシン
    • パウダー平均粒子径
    • 約25μm
    • 使用用途
    • バイオフィルム・軽微なステインの除去
    • 使用範囲と対象
    • 歯肉縁上/縁下、補綴装置

    ・160 g x 2 本入り
    ・主成分のグリシンはタンパク質の構成物質であるアミノ酸
    ・歯肉縁下に使用しても滞留しにくい高い水溶性

  • Perio Mate Nozzle tip
  • ペリオメイトノズルチップ (40 本入)

    • 製品名:ペリオメイトノズルチップ
    • 製品番号:Y1002741

    40 本入り / ディスポーザブルタイプ / 滅菌済み
    アクセス性と歯肉への安全性を追求した柔軟性のあるプラスチックノズル

臨床動画

歯科衛生士向けポータルページ

ダウンロード

カタログ

院内ポスター