NSK Clinical Report 04エアースケーラー形成チップの臨床応用
PDFダウンロード
貞光歯科医院院長
貞光 謙一郎
はじめに
エアースケーラーの形成用チップは通常、回転切削バーによる支台歯形成後のフィニッシュラインの最終仕上げ用として使用されている。回転切削用機器のみでは除去できない微細な鋭縁や、歯肉溝部分の内縁上皮を損傷することなく仕上げることができるため、筆者にとって処置の精度の向上に欠かせない機器のひとつである。
上記、通常の用途に加え、筆者は審美修復治療、根管治療、歯面付着物の除去の場面などでも積極的に活用を行っている。本稿ではエアースケーラーの各チップの臨床での用途、その有用性について解説する。
1. 支台歯形成への応用:S81D、S82D、S86D
筆者は通常、以下の3段階にわけて支台歯形成を行っている。
①グロスプレパレーション:概形の形成
②ファイナルプレパレーション:軸面を意識した形成
③フィニッシュプレパレーション:歯肉圧排後のフィニッシュラインの形態修正
支台歯形成用のチップS81D、S82D、S86Dは、上記③の段階で、シャンファー形成の仕上げ用チップとして使用する。
S81Dは、先端径がø1.4mmで半径が0.7mmとなり菲薄な日本人の生活歯に適した径である。一方、S86Dは先端径がø1.2mmで半径が0.6mmとなり、更に細い。S82Dは先端径がø1.6mmとS81Dより若干太いため、しっかりと削除量をとる必要がある症例に適応している。
CASE1:S81D、S82Dの活用例
本症例は、舌が大きく下顎の舌側面の形成が困難であった。舌に損傷を与えないよう注意を払いつつ、繊細な形成が必要である。そこでグロスプレパレーションを短時間で終え、その後、S81DもしくはS82Dを用いて舌側面の形成を行った。S81D、S82Dはタービンや5倍速コントラでは不可能な角度からの形成が行えるという点で有用である(図1)。
CASE2:S81D、S82Dの活用例
上下顎の最後方臼歯遠心面の形成は、患者の開口量や対合歯との問題、注水による患者の不快感もあいまって形成不良になりがちである。また、遠心面へのタービンの挿入角度から支台歯のテーパーが強くなり、補綴装置の脱離の原因にもなってしまう。しかも明視野での形成が困難であるため、フィニッシュラインを明確に得ることが難しい。
開口量の少ない患者や最後方臼歯遠心面の形成には、ヘッドの小さいタービンのS-Max picoが最も適している(図2)。
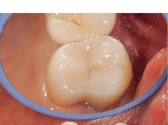
同部位に対してエアースケーラーにS81D、S82Dチップを装着して形成を行った。視野が明瞭になることや操作性が優れていることにより、上顎7番の遠心であっても良好な形成が行える(図3a,b)。
CASE3:S86Dの活用例
46が欠損し、かつ長期間放置されたことにより、47の近心傾斜が認められた(図4)。患者は現状での欠損補綴を希望されたため、46にインプラント、47は歯軸を変更させ上下顎の咬合関係を維持することとした。47は生活歯として維持したため、歯肉縁上での形成とし(図5)、フィニッシュラインはS86Dにて丁寧に最終形成を行った(図6)。
次に口腔内スキャナーで印象採得を行い、マージンライン決定後に補綴装置のデザインを行った(図7)。エアースケーラーのチップによる精緻な最終形成が達成されたことにより、最終補綴装置では良好な適合が得られている。
2. ラミネートベニアによる審美修復への応用:S71D、S72D
ラミネートベニア修復においては、エナメル質への最小限の侵襲による形成が重要となる。筆者はこの目標を達成すべくS71D、S72Dを活用している。
CASE4:S71D、 S72Dの活用例
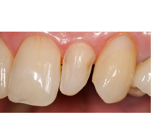
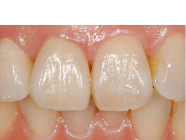
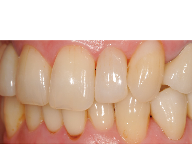
患者は50代女性、12の矮小歯の審美的回復を望まれたことから、ラミネートベニア修復による審美的回復を考えた(図8)。
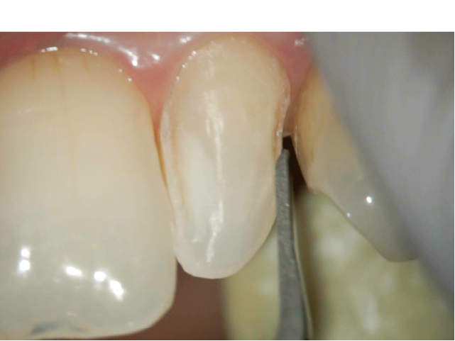
本症例では、エナメル質をなるべく残存すべく形成を行った。近遠心の隣接面においては隣接歯を傷つけないよう、片側にのみダイヤモンドコーティングがされているS71D、S72Dを使用した。
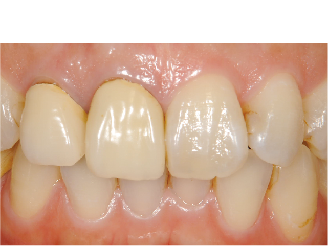
チップの先端と側面をうまく利用しながら(図9a,b)、最終形成を行う(図10)。次に印象採得をし、接着剤の色調選択とラミネートベニアの接着を行った(図11)。
3. 感染根管処置や歯面付着物除去時の応用:S83D
感染根管処置を行うにあたってはまず支台築造物を除去し、根管内を形成する。その際に筆者が頻繁に利用しているのがS83Dのチップである。(図12)に示すようにS83Dの使用による感染象牙質の除去により、根管内をうまく形成することができる(図13)。
CASE5: S83Dの活用例から
患者は30代女性、上顎右側中切歯・側切歯の審美修復を主訴として来院された(図14)。感染根管処置後に根管内はS83Dにて形成し、後に支台歯形成を行った(図15)。5倍速コントラZ95Lにて最終形成を行い(図16)、最終的にジルコニアクラウンによる修復となった(図17)。
また、ラルゴリーマーを用いてコア形成を行った場合にも、根管壁に付着した根管充填材料や切削粉をS83Dできれいに取り除くことができる。それにより次のステップであるコアの印象が良好なものとなる。
その他、一部が脱離したシーラントもS83Dの先端でうまく除去することが可能である(図18)。
おわりに
本稿では、主にエアースケーラーチップの支台歯形成への活用例を紹介した。修復物の永続性が適合に依存することはいうまでもない。筆者自身、丁寧な形成に重きを置いてきたが、近年導入した口腔内スキャナーの画像を通じて、フィニッシュラインの滑沢性や不揃いの問題を認識した。このような臨床課題の解決に、エアースケーラーの支台歯形成用チップを使用することは、形成の精度向上や仕上がりの改善が期待でき、治療の品質向上に有用であると感じている。
※医院での事例紹介や個人的な感想も含まれます。
貞光 謙一郎