NSK Clinical Report 08広がる! コンポジットレジン直接修復の適応範囲
― 今日のMI修復におけるエアースケーラーチップの活用 ―

田代歯科医院
田代 浩史
はじめに
直接法コンポジットレジン修復の適応範囲は、近年、関連の基礎研究や材料開発の努力により、拡大してきました。すなわち、ボンディング材の歯質への浸透・硬化による接着力の獲得と、コンポジットレジンの重合硬化後の強度・審美性の向上により、適応範囲が広がり、臨床家の認識も大きく変化してきました。本稿では過去には間接修復の適応が一般的であった臼歯部の隣接面う蝕に対して、コンポジットレジン直接修復を活用したMI修復症例について報告します。
1. 低侵襲性を最優先した窩洞形成器具の選択の重要性
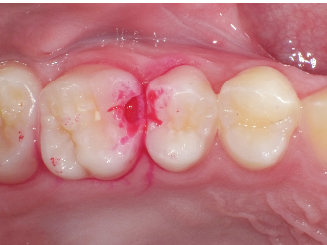
臼歯部に原発する隣接面う蝕では、最初に行われる修復処置がその後のレストレーションサイクルにおける悪循環への移行を防止するために非常に重要です。具体的にはコンポジットレジン直接修復を前提としたう蝕除去範囲の決定、修復補助器材の選択、接着操作の精度などが修復の予後を左右することから、最初に行う修復処置は重要な治療ステップの連続と言えます。
修復治療の第一段階として特に意識して行うべきステップは、感染歯質の除去に限定した、可能な限り最小化した窩洞形態の付与であり、それにより健全歯質の温存と修復規模の縮小に務めることが必要です。そのため、この場面で窩洞形成に用いる切削器材の選択は大変重要で、う窩の開拡、感染歯質の除去、窩縁部の仕上げなど、窩洞形成の各ステップで術者が意識して器材を使い分ける必要があります。
本稿では、最小限の健全歯質除去でう窩の開拡を行い、う蝕検知液を併用して感染象牙質に限定したう蝕除去を徹底し、最終的には隣在歯の誤切削防止が可能なエアースケーラーチップにより窩洞形成を仕上げた症例を示しながら、いかにして今日求められるMI修復を実現していくべきかを提示していきます。
2. 窩洞を最小化し、精度のよい隣接面形態を回復する
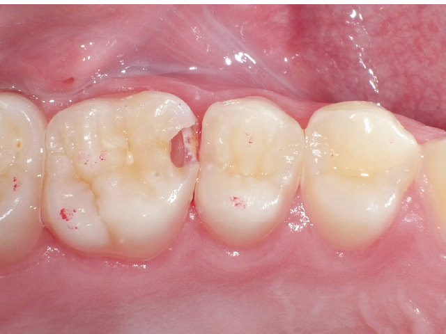
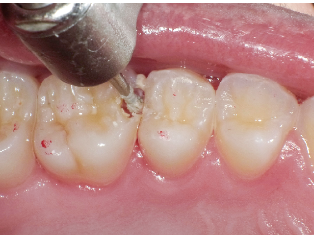
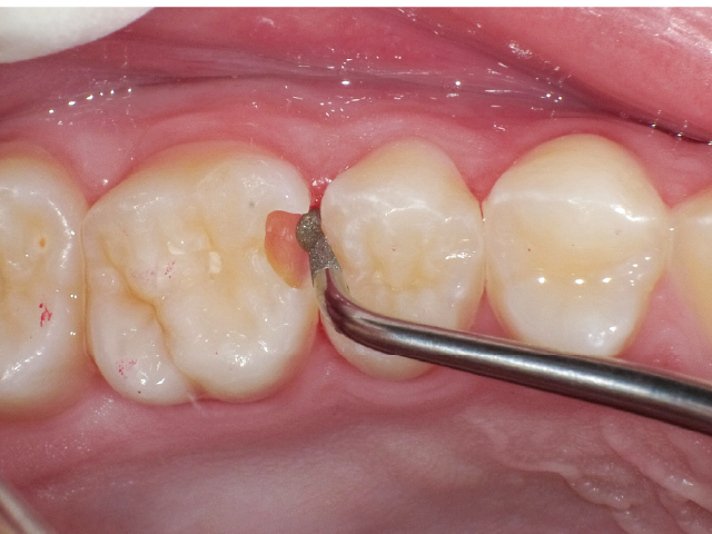
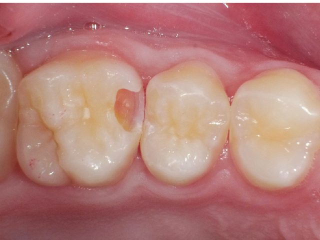
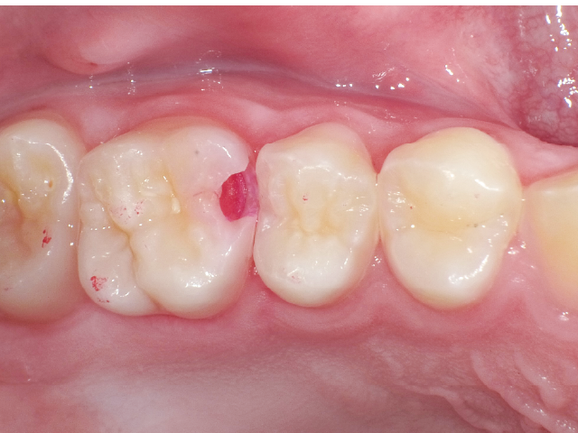
①窩洞形成段階(図1~7)
本症例では、ダイヤモンドの微粒子でコーティングされたエアースケーラーチップを窩洞形態の仕上げに使用。隣在歯の誤切削を防止し、エナメル質の切削断面を歯肉側窩縁までなめらかになるよう仕上げました。
本チップは切削時にストレスが少ない穏やかな振動のエアースケーラー専用のダイヤモンドチップで、切削部となる半球形状の面にのみダイヤモンド砥粒がコーティングされており、背面平坦部は隣在歯を削らないよう平滑になっています(図8、9)。チップの屈曲角度は110°に設定され、窩洞へのアクセスが容易な形状となっています。S67D(アングルの外側)、S68D(アングルの内側)チップは半球状の切削部位が設定され、臼歯部の近遠心両側の窩洞形成に使用が可能です。本症例では、左上6近心隣接面部の窩洞であったため、アングルの外側に半球状の切削部位が設定されている「S67D」を使用しました。これらの器具を使用することにより、頬舌側の隅角部歯質を温存した最小限の規模で窩洞形成を終了、防湿操作および隔壁の設置に移行することができました。
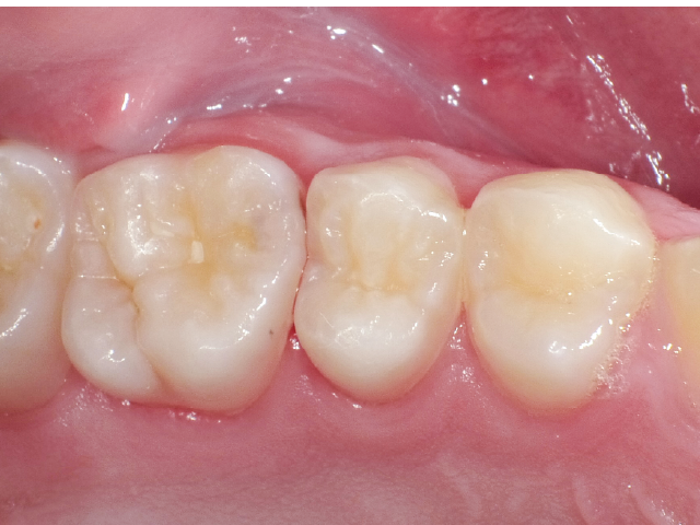
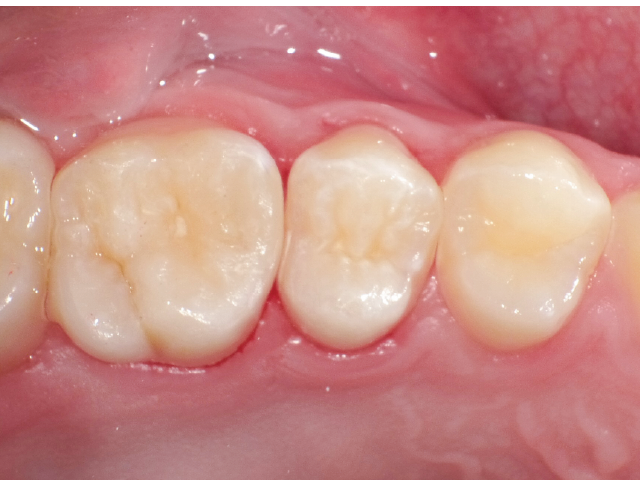
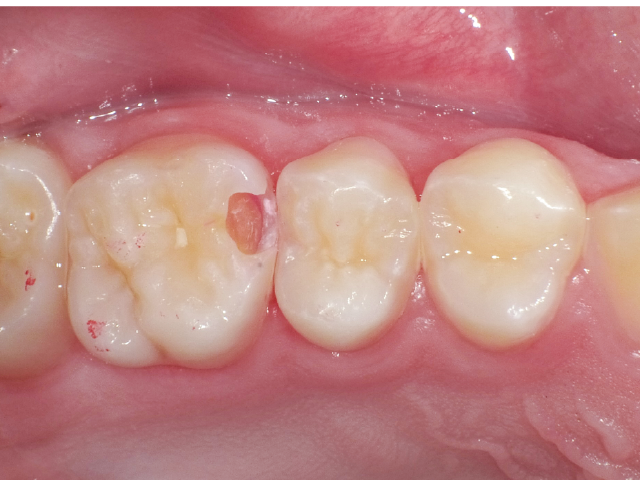
②充填段階(図10~22)
窩洞形成完了後は隣接面部健全歯質の残存範囲によりコンポジットレジンの充填時に用いるマトリックスシステムを選択していきますが、今回はシンプルな操作で設置可能なトッフルマイヤータイプのマトリックスシステムを選びました。隣在歯との距離が小さく、フラットな隣接面形態の再現が必要な症例には最適で、同時に精度の高い窩洞の防湿も可能です。使用したメタルのマトリックスバンドの厚さは30µmと非常に薄く、隣在歯との間に適切な接触関係を回復することができます。
接着操作には窩縁部エナメル質へのセレクティブエッチングに続いて、2ステップタイプのセルフエッチングシステム(クリアフィル® メガボンド®2 : クラレノリタケデンタル)を使用し、フロアブルレジンとペーストタイプレジンとを併用したシンプルな積層充填操作により隣接面形態を回復しました。
まとめ
臼歯部隣接面における初期う蝕治療では、適切なタイミングで治療に介入し、充填操作の行いやすい環境で窩洞形成を終えることが、最終的な修復の長期予後を左右します。う蝕が象牙質に進行することにより、エナメル‐象牙境におけるう蝕の範囲拡大が起き、その程度により修復難易度が決定されます。よって頬舌側の隅角部の残存歯質量と歯肉側窩縁のエナメル質残存量が重要となります。
本症例では窩洞底部のエナメル質窩縁への窩洞形成の最終仕上げに硬組織の繊細な切削が可能なエアースケーラーチップを活用し不用意な窩洞規模の拡大を防ぐことができました。それにより、シンプルなマトリックスシステムでの隣接面部への精密な充填操作が可能となり、修復の長期予後に期待がもてる状況となりました。精度の高いMIコンポジットレジン修復において、エアースケーラー専用のダイヤモンドチップが非常に相性が良いことが確認されました。このような切削システムを有効に活用することで、より精密で長期的な修復結果が得られる可能性が高いと考えます。
※医院での事例紹介や個人的な感想も含まれます。
田代 浩史 Hirofumi Tashiro